CLINICAL CASES
Lucio Fabián Cerellia-b, Andrea Libertad Fuentesb
a Facultad de Medicina, Universidad Nacional de Mar del Plata, Mar del Plata (Buenos Aires), Argentina.
b Clínica de Ojos Juan B. Justo, Mar del Plata (Buenos Aires), Argentina.
Received: September 5th, 2025.
Approved: November 7th, 2025.
Corresponsal author
Dr. Lucio F. Cerelli
Clínica de Ojos Juan B. Justo
Av. Juan B Justo 2455
(7600) Mar del Plata, provincia de Buenos Aires
Argentina.
+54 223 491-9442
luciocerelli@mdp.edu.ar
Oftalmol Clin Exp (ISSNe 1851-2658)
2025; 18(4): e528-e534.
DOI: https://doi.org/10.70313/2718.7446.v18.n4.460
Abstract
Objective: Progressive multifocal leukoencephalopathy (PML) is a demyelinating infectious disease that occurs in patients with HIV at the AIDS stage. It is characterized by multifocal lesions in the cerebral white matter that produce neurological and ophthalmological manifestations mimicking a space-occupying lesion without being one. The coexistence of other conditions may complicate the differential diagnosis. We report a case in which an interdisciplinary assessment led to the identification of advanced glaucoma as the main cause of visual loss.
Case report: A male patient presented with progressive visual acuity loss. During history taking, hindered by marked cognitive and language impairment, he reported a previous hospitalization for altered sensorium, during which he had been diagnosed with PML secondary to HIV infection in the AIDS stage. Comprehensive neurological and ophthalmic evaluations confirmed advanced glaucoma as the underlying ocular disease responsible for the visual decline.
Conclusion: This case highlights the diagnostic and therapeutic challenges that arise when cognitive or language disorders interfere with the doctor-patient relationship. Accurate identification of the visual deficit’s etiology in complex neurological contexts is crucial to prevent misdiagnosis and guide appropriate management.
Keywords: pogressive multifocal leukoencephalopathy, dementia, glaucoma.
Leucoencefalopatía multifocal progresiva y glaucoma avanzado oculto: desafíos clínico-diagnósticos en un paciente con demencia secundaria
Resumen
Objetivo: La leucoencefalopatía multifocal progresiva (LMP) es una enfermedad desmielinizante de etiología infecciosa que se presenta en pacientes con VIH en estadio SIDA. Se caracteriza por lesiones multifocales en la sustancia blanca cerebral que generan signos y síntomas neurológicos y oftalmológicos compatibles con una lesión ocupante de espacio sin constituirla. La coexistencia con otras patologías puede dificultar el diagnóstico diferencial. Se describe un caso en el que, tras una evaluación interdisciplinaria, se identificó un glaucoma avanzado como causa principal de la disminución visual.
Caso clínico: Paciente masculino que consulta por disminución progresiva de la agudeza visual. Durante el interrogatorio —limitado por severas alteraciones cognitivas y del lenguaje— refiere antecedentes de internación por trastorno del sensorio durante la cual se diagnosticó LMP secundaria a infección por VIH en estadio SIDA. Tras diversas evaluaciones neurológicas y oftalmológicas se estableció el diagnóstico de glaucoma avanzado como enfermedad ocular de base responsable del compromiso visual.
Conclusión: Este caso subraya la importancia de reconocer los desafíos diagnósticos y terapéuticos que surgen cuando las alteraciones cognitivas o del lenguaje interfieren en la relación médico-paciente. La identificación precisa de la causa del déficit visual en un contexto neurológico complejo es esencial para evitar atribuciones erróneas y orientar un manejo adecuado.
Palabras clave: leucoencefalopatía multifocal progresiva, glaucoma, demencia.
Leucoencefalopatia multifocal progressiva e glaucoma avançado oculto: desafios clínico-diagnósticos em um paciente com demência secundaria
Resumo
Objetivo: A leucoencefalopatia multifocal progressiva (LMP) é uma doença desmielinizante de etiologia infecciosa que ocorre em pacientes com HIV na fase de AIDS. Caracteriza-se por lesões multifocais na substância branca cerebral que produzem sinais e sintomas neurológicos e oftalmológicos compatíveis com uma lesão expansiva, sem, contudo, constituí-la. A coexistência com outras patologias pode complicar o diagnóstico diferencial. Descrevemos um caso em que, após avaliação interdisciplinar, o glaucoma avançado foi identificado como a causa primária da deficiência visual.
Caso clínico: Paciente do sexo masculino apresenta diminuição progressiva da acuidade visual. Durante o interrogatório —limitada por graves comprometimentos cognitivos e de linguagem— ele relata histórico de internação por alteração do estado mental, durante a qual foi diagnosticado com leucemia maligna progressiva (LMP) secundária à infecção pelo HIV na fase de AIDS. Após diversas avaliações neurológicas e oftalmológicas, foi estabelecido o diagnóstico de glaucoma avançado como a doença ocular subjacente responsável pela deficiência visual.
Conclusão: Este caso ressalta a importância de reconhecer os desafios diagnósticos e terapêuticos que surgem quando comprometimentos cognitivos ou de linguagem interferem na relação médico-paciente. A identificação precisa da causa da deficiência visual em um contexto neurológico complexo é essencial para evitar atribuições errôneas e orientar o manejo adequado.
Palavras-chave: leucoencefalopatia multifocal progressiva, glaucoma, demência.
Introduction
Progressive multifocal leukoencephalopathy (PML) is a demyelinating disorder of the central nervous system caused by the John Cunningham virus (JCV), a polyomavirus present in approximately 50%-70% of the population, which becomes clinically manifest in immunocompromised patients1-3. From an ophthalmologic perspective, it may present with decreased visual acuity, homonymous hemianopia, nystagmus, and cranial nerve palsies leading to diplopia. Systemically, it manifests with neurological deficits and cognitive decline, primarily affecting the parietal and occipital lobes, resulting in visual disturbances (homonymous hemianopia or cortical blindness), aphasia, apraxia, ataxia, hemiparesis, or quadriparesis, as well as higher cortical dysfunctions such as dementia, confusion, and personality changes —these being the most frequent and clinically significant.
As described, this disease may involve the visual system through various pathophysiological mechanisms, clinical presentations, and diagnostic challenges. The purpose of this report is to present a case in which an interdisciplinary evaluation led to the identification of coexisting advanced glaucoma, initially masked by the underlying neurological condition.
Case report
A 60-year-old male nurse presented with blurred vision. Medical history included HIV infection (stage C3, AIDS), diagnosed 12 months earlier during hospitalization for confusion, when progressive multifocal leukoencephalopathy (PML) was confirmed by detection of JC virus in cerebrospinal fluid and characteristic findings on brain MRI. The interview was limited by secondary cognitive impairment with aphasia and verbal agnosia.
Neurological examination revealed gait disturbance and reduced lower-limb strength. Best-corrected visual acuity (BCVA) was 20/32 in both eyes. Ocular alignment, motility, and pupillary reflexes were normal, and the Ishihara test was unremarkable. Confrontation visual fields revealed a right homonymous hemianopia, confirmed by automated perimetry (Fig. 1).

Slit-lamp examination showed grade 2 corticonuclear cataracts and intraocular pressure (IOP) of 14 mmHg OU. Fundus examination revealed normally colored optic discs with neuroretinal rim thinning, a cup-to-disc ratio of 0.9, and bayonet-shaped vessels (Fig. 2).

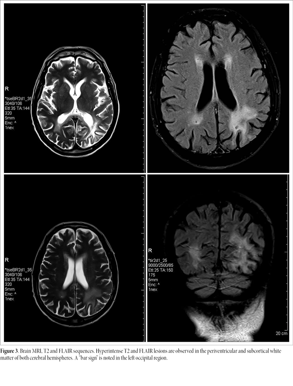
Laboratory results included CD4⁺ count = 161 cells/mm³ and HIV viral load = 35 copies/ml (previously 5940 copies/ml). MRI with contrast revealed hyperintense T2 and FLAIR lesions in periventricular and subcortical white matter bilaterally, with a “bar sign” in the left occipital region, without hemorrhagic collections or mass lesions (Fig. 3).

Optical coherence tomography (OCT) demonstrated enlarged optic cups with inferior retinal nerve fiber layer loss, consistent with the visual field defects and hemianopia (Fig. 4).

Given the suspicion of coexisting normal-tension glaucoma, serial IOP measurements were obtained under various conditions, remaining within normal limits. A subsequent water drinking test (800 ml, IOP measured at 15, 30, and 45 min) showed a sustained increase from 14/15 mmHg to 26/27 mmHg OU, confirming advanced glaucoma.
The patient was started on topical latanoprost and remains under multidisciplinary follow-up with infectious disease, neurology, and ophthalmology services.
Discussion
This case illustrates the diagnostic complexity that may arise when neurological and ophthalmologic conditions affecting the visual system coexist4-5. In immunocompromised patients with progressive multifocal leukoencephalopathy (PML), visual symptoms such as hemianopia, decreased visual acuity, or oculomotor alterations are often attributed directly to central nervous system involvement1-3. However, the coexistence of chronic ocular diseases such as glaucoma may go unnoticed, delaying specific treatment.
In this patient, the initial perimetric defect compatible with right homonymous hemianopia was attributable to occipital involvement by PML, but there was also marked optic disc cupping and retinal nerve fiber loss on optical coherence tomography (OCT), structural findings consistent with glaucoma. The normal baseline intraocular pressure (IOP) initially complicated the diagnosis, yet the water drinking test revealed a sustained hypertensive response, confirming glaucomatous pathology.
This finding highlights the relevance of complementary functional and structural tests, visual fields, OCT, and dynamic IOP assessments, even when neurological manifestations appear to explain the ocular picture6-8. It also underscores the need for an interdisciplinary approach involving infectious disease, neurology, and ophthalmology to avoid diagnostic omissions.
Furthermore, the case emphasizes the additional difficulty of evaluating patients with cognitive or language impairments, where effective communication is limited. In such settings, careful objective examination and integrative interpretation of findings become essential to identify treatable conditions —such as advanced glaucoma in this case— within the context of irreversible neurological damage.
Conclusion
This case underscores the importance of comprehensive ophthalmologic evaluation in patients with complex neurological disorders, particularly when cognitive or communication impairments are present. The coexistence of advanced glaucoma with progressive multifocal leukoencephalopathy demonstrates that not all visual symptoms should be attributed to cerebral involvement. Integrating clinical, functional, and structural findings, through close interdisciplinary collaboration, enables the identification of treatable ocular diseases and the preservation of vision even in patients with severe systemic conditions.
References
LEYENDAS
Figure 1. Automated visual field test. Note the right homonymous hemianopia associated with a superior arcuate scotoma in both eyes.
Figure 2. Fundus photographs of both eyes. The optic discs appear enlarged, showing β-zone atrophy, a cup-to-disc ratio of 0.8, and generalized vascular thinning.
Figure 3. Brain MRI, T2 and FLAIR sequences. Hyperintense T2 and FLAIR lesions are observed in the periventricular and subcortical white matter of both cerebral hemispheres. A “bar sign” is noted in the left occipital region.
Figure 4. Optical coherence tomography (OCT) of the optic nerve. A large optic disc is observed, with increased cupping and inferior retinal nerve fiber loss in both eyes.