ARTÍCULOS ORIGINALES
Tumores a distancia y afectación orbitaria como manifestación inicial
Martina Faretta, Joaquín Rodríguez, Laura Cardozo, Camila Rocco, Andrea Valeiras
Hospital Interzonal General de Agudos Dr. Rodolfo Rossi, La Plata, Argentina.
Recibido: 28 de mayo de 2023.
Aprobado: 19 de julio de 2023.
Autor corresponsal
Dra. Martina Faretta
Hospital Rodolfo Rossi
Calle 36, no. 183
(1900) La Plata (prov. de Buenos Aires)
Argentina
+54 221 4828821
martufaretta92@gmail.com
Oftalmol Clin Exp (ISSNe 1851-2658)
2023; 16(3): e251-e259.
Resumen
Objetivo: Revisar la frecuencia de aparición en corto plazo y las características de casos que tuvieron metástasis orbitaria de tumores primarios localizados a distancia.
Métodos: Se realizó un estudio retrospectivo de una serie de casos que incluyó pacientes que tuvieron metástasis orbitarias de tumores primarios localizados a distancia, atendidos entre enero y febrero de 2023 en un servicio de oftalmología. Se evaluaron las características como sexo, edad, localización del tumor primario, forma de presentación, métodos diagnósticos, tratamiento, evolución y supervivencia desde el diagnóstico.
Resultados: En el período de estudio se atendieron en el servicio de oftalmología 462 pacientes y se encontraron tres casos (0,6%) que cumplieron con los criterios de inclusión. La edad media al diagnóstico fue de 45,6 años (rango 29-6). En los 3 casos la metástasis fue unilateral. Las localizaciones del tumor primario fueron la mama, el pulmón y el testículo. Sólo 1 paciente tenía enfermedad neoplásica diagnosticada al momento de la consulta oftalmológica. Los signos y síntomas más frecuentes fueron dolor, hiperemia bulbar, proptosis, ptosis, diplopía y disminución de agudeza visual. La supervivencia media fue de 3,8 meses desde el momento del diagnóstico. Los pacientes con cáncer de testículo y mama fallecieron en un corto plazo de tiempo desde el momento de la consulta.
Conclusiones: En dos meses se encontraron 3 casos de metástasis orbitarias de tumores de testículo, pulmón y mama, representando el 0,6% de los casos atendidos en nuestro servicio. En dos casos (66%) las manifestaciones orbitarias precedieron a la detección del tumor primario.
Palabras clave: órbita, tumores orbitarios, metástasis.
Distant tumors and orbital involvement as initial manifestation
Abstract
Objective: To review the short-term frequency of occurrence and characteristics of cases with orbital metastases from distant localized primary tumors.
Methods: Retrospective study of a case series was performed, including patients who had orbital metastases from distant localized primary tumors, seen between January and February 2023 in an ophthalmology service. Characteristics such as gender, age, location of the primary tumor, form of presentation, diagnostic methods, treatment, evolution and survival since diagnosis were evaluated.
Results: During the study period, 462 patients were seen in the ophthalmology department and three cases (0.6%) met the inclusion criteria. The mean age at diagnosis was 45.6 years (range 29-6). In all 3 cases the metastasis was unilateral. The locations of the primary tumor were breast, lung and testis. Only 1 patient had neoplastic disease diagnosed at the time of ophthalmologic consultation. The most frequent signs and symptoms were pain, bulbar hyperemia, proptosis, ptosis, diplopia and decreased visual acuity. Median survival was 3.8 months from the time of diagnosis. Patients with testicular and breast cancer died within a short time from the time of consultation.
Conclusions: In two months, 3 cases of orbital metastases of testicular, lung and breast tumors were found, representing 0.6% of the cases seen in our service. In two cases (66%), the orbital manifestations preceded the detection of the primary tumor.
Keywords: orbit, orbital tumors, metástasis.
Tumores à distância e envolvimento orbitário como manifestação inicial
Objetivo: Revisar a frequência de aparecimento em curto prazo e as características dos casos que apresentaram metástase orbitária de tumores primários localizados à distância.
Métodos: Foi realizado um estudo retrospectivo de uma série de casos que incluiu pacientes com metástases orbitárias de tumores primários de localização remota, atendidos entre janeiro e fevereiro de 2023 em um serviço de oftalmologia. Foram avaliadas características como sexo, idade, localização do tumor primário, forma de apresentação, métodos diagnósticos, tratamento, evolução e sobrevida desde o diagnóstico.
Resultados: No período do estudo, 462 pacientes foram atendidos no serviço de oftalmologia e foram encontrados três casos (0,6%) que cumpriram com os critérios de inclusão. A média de idade no momento do diagnóstico foi de 45,6 anos (intervalo de 29-6). Em todos os 3 casos a metástase foi unilateral. As localizações primárias do tumor foram seio, pulmão e testículo. Apenas 1 paciente teve doença neoplásica diagnosticada no momento da consulta oftalmológica. Os sinais e sintomas mais frequentes foram dor, hiperemia bulbar, proptose, ptose, diplopia e diminuição da acuidade visual. A sobrevida média foi de 3,8 meses a partir do momento do diagnóstico. Pacientes com câncer de testículo e mama morreram em um curto período a partir do momento da consulta.
Conclusões: Em dois meses, foram encontrados 3 casos de metástases orbitárias de tumores testiculares, pulmonares e mamários, representando 0,6% dos casos tratados em nosso serviço. Em dois casos (66%) as manifestações orbitárias precederam a detecção do tumor primário.
Palavras-chave: órbita, tumores orbitários, metástase.
Introducción
Aunque la mayor parte de los tumores que afectan la órbita son primarios o alcanzan la órbita por contigüidad, un cierto número de ellos son el resultado de una metástasis de un tumor primario localizado a distancia1 y pueden ser la primera manifestación de un proceso neoplásico. A pesar de que el pronóstico es generalmente malo, un diagnóstico precoz puede facilitar una terapia con efectos paliativos beneficiosos, inducir remisión del tumor primario o incluso, en algunos pacientes, llegar a curarse. Las metástasis orbitarias son menos frecuentes que las oculares2-3 y no parecen tener predilección por ninguna de las dos órbitas. Su aparición raramente es bilateral4-5, aunque en algunos casos de tumor primario de mama puede aparecer simultáneamente en ambas órbitas6. Su localización en la órbita es variable, aunque suele manifestarse más frecuentemente en la parte lateral (39%) y superior (32%) que en la medial (20%) e inferior (12%)5. El origen más frecuente de metástasis orbitaria es la mama, seguido por el pulmón y la próstata, pero entre un 11% y un 19% de casos no se puede encontrar su origen4-5. La forma de presentación clínica depende de la naturaleza del tumor primitivo, la velocidad de progresión y la situación inmunológica del paciente6. Es importante tener en cuenta que las metástasis pueden simular otras lesiones de carácter no maligno, como son hemangiomas, miositis, orbitopatía tiroidea u otros procesos inflamatorios6.
El hecho de que un 50% de los casos de metástasis orbitarias acude al oftalmólogo sin conocer todavía la existencia de un tumor primario, subraya el papel de este especialista en el diagnóstico de esta patología6. En los adultos varones y en los niños es frecuente no conocer la existencia del tumor primario cuando aparece una metástasis orbitaria. Por el contrario, las mujeres suelen estar ya diagnosticadas de carcinoma de mama1,4,6. En lo que respecta a los exámenes complementarios, tanto la tomografía axial computada (TAC) como la resonancia magnética nuclear (RMN) son fundamentales y más útiles que los ultrasonidos para evaluar órbitas con sospecha de lesiones metastásicas3. La TAC es el estudio de elección puesto que permite detectar afectaciones óseas mejor que la RMN2. La biopsia por punción y aspiración con aguja fina (PAAF) es una excelente opción en el caso de sospecha de metástasis que —si tiene éxito— permite obtener el diagnóstico anatomopatológico de forma rápida, orienta en la localización del tumor primario y evita al paciente un gran número de exploraciones7. Por lo tanto, el objetivo de este trabajo fue revisar la frecuencia de aparición en corto plazo y las características de casos que tuvieron metástasis orbitaria de tumores primarios localizados a distancia.
Materiales y métodos
Se realizó un estudio retrospectivo descriptivo de una serie de casos que incluyó pacientes que tuvieron diagnóstico de metástasis orbitarias de tumores primarios localizados a distancia, atendidos en un período de 60 días en el Servicio de Oftalmología del Hospital Interzonal General de Agudos, La Plata, Argentina, durante el mes de enero y febrero de 2023.
Para realizar el presente estudio se adhirieron a los conceptos establecidos en la declaración de Helsinki. Los pacientes atendidos en el servicio firmaron un consentimiento para que sus datos pudieran utilizarse con fines académicos, científicos, resguardando la confidencialidad de sus identidades. El estudio fue evaluado y aprobado por el comité de docencia e investigación de la institución.
Tras revisar las historias clínicas del periodo de estudio y seleccionar los casos, se evaluaron las características de cada uno, describiendo sexo, edad, forma de presentación (síntomas y signos iniciales), métodos diagnósticos utilizados, localización del tumor primario y su posible tratamiento, evolución y el tiempo de supervivencia desde el diagnóstico.
Resultados
En el período de estudio se atendieron en el servicio de oftalmología, por consultorio, 462 pacientes y se encontraron tres casos (0,6%) que cumplieron con los criterios de inclusión. Eran dos hombres cuyos tumores primarios estaban localizados en el testículo derecho, en un caso, y en el pulmón en el otro; y una mujer con carcinoma de mama. La edad media al diagnóstico fue de 45,6 años (rango 29-6). En los 3 casos la metástasis fue unilateral. Las localizaciones del tumor primario fueron la mama, el pulmón y el testículo. Sólo un paciente tenía enfermedad neoplásica diagnosticada al momento de la consulta oftalmológica. Los signos y síntomas más frecuentes fueron dolor, hiperemia bulbar, proptosis, ptosis, diplopía y disminución de agudeza visual.
La supervivencia media fue de 3,8 meses desde el momento del diagnóstico. En los tres casos se interactuó con otras especialidades: ginecología, urología, neumonología y oncología, además de medicina interna.
A continuación, se realiza la descripción clínica de los casos.
Caso 1
Varón de 29 años consulta por proptosis axial de ojo derecho asociado a dolor intenso de 1 mes de evolución.
La agudeza visual mejor corregida (AVMC) del OD era de visión luz con mala proyección luminosa y del ojo izquierdo (OI) de 10/10, defecto pupilar aferente relativo, limitación de todos los movimientos oculares derechos (órbita congelada) y exoftalmos severo (>27 mm) con imposibilidad de oclusión palpebral (fig. 1).

Figura 1. Órbita congelada derecha con quemosis hemorrágica y lagoftalmos.
A la biomicroscopía (BMC) del OD se observó quemosis hemorrágica e inyección conjuntival 360 grados, úlcera corneal inferior y BUT disminuido.
En el fondo de ojos derecho se visualizó intenso edema de papila asociado a hemorragias en llamas en capa de fibras nerviosas peripapilares.
El examen oftalmológico del ojo izquierdo se encontraba dentro de parámetros normales.
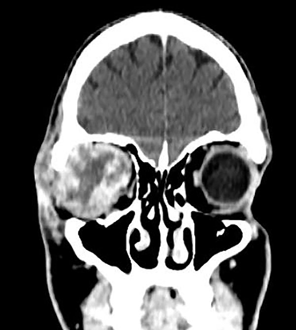
La tomografía computada (TC) de órbita derecha informó: formación heterogénea con efecto de masa sobre las estructuras adyacentes (musculares y nerviosas) de 40 mm asociada a proptosis del globo ocular homolateral (fig. 2).
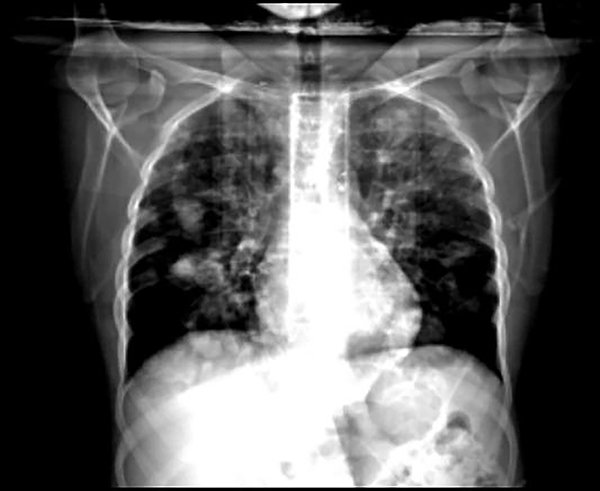
La TC de tórax mostraba múltiples nódulos pulmonares de variado tamaño, los dominantes promediaron los 35 mm y se localizaban en los segmentos anteriores del LSI y LID y en el segmento externo LII (fig. 3). Derrame pleural bilateral laminar. Ecografía testicular izquierda: formación sólida, heterogénea, de aproximadamente 9 x 7,5 cm, que presentaba señal de flujo ante la evaluación en modo Doppler color y desplazaba las estructuras adyacentes. Tales hallazgos sugieren proceso atípico primario.

Figura 2. TC de órbita: corte coronal con aumento de la densidad de partes blandas orbitarias derechas (músculos y nervios).

Figura 3. TC de tórax: múltiples nódulos pulmonares con derrame pleural bilateral.
Caso 2
Paciente masculino de 69 años de edad con antecedente de tabaquismo (20 cigarrillos/día) consulta por dolor y disminución de agudeza visual de ojo derecho (OD) de 1 mes de evolución. Al examen oftalmológico presentó AVMC de OD 4/10 y de OI de 10/10.
A la inspección se observó una masa palpable en el reborde orbitario superior y nasal derecho, palpable, dolorosa, adherida a planos profundos, de consistencia dura y pétrea, con presencia de edema y eritema palpebral, sin desplazamiento del globo ocular. Los movimientos oculares se encontraban limitados en la mirada hacia adentro, arriba y abajo. A la BMC presentaba leve congestión conjuntival en OD; una presión intraocular de 15 mmHg (AO), reflejo fotomotor conservado (AO).
El fondo de ojos estaba dentro de parámetros normales para la edad en AO. Al examen físico presentó adenopatías en región cervical derecha (submaxilar y yugular superior) y preauriculares ipsilaterales.
La TC con y sin contraste informó una lesión de densidad de partes blandas que protruía hacia el septum orbitario, de un tamaño de 22 mm x 10 mm. En ventana ósea se observó erosión de los huesos frontal y etmoides derecho. En la RMN de órbitas se identificó la misma lesión de límites difusos, isointensa, heterogénea y sin compromiso de músculo recto interno.
Se realizó una biopsia incisional transpalpebral con fines diagnósticos y el material fue enviado para su análisis al servicio de anatomía patológica, quien hizo el diagnóstico de adenocarcinoma semidiferenciado de origen pulmonar. En la TC se observó una opacidad de 41 mm x 16 mm en el lóbulo superior del pulmón izquierdo y múltiples adenopatías mediastinales.
Caso 3
Mujer de 49 años de edad, extabaquista, OMS B24 con abandono de terapia antirretroviral y diagnóstico de carcinoma ductal infiltrante, en tratamiento con quimioterapia sistémica acude a la consulta oftalmológica porque notó dificultad en la motilidad del OD, sobre todo hacia arriba, abajo y a la derecha, y refirió diplopía, ligero exoftalmos y ptosis palpebral de aproximadamente 4 meses de evolución.
La AVMC al momento del examen del OD era 3/10 y 10/10 OI y en la BMC del OD moderada congestión conjuntival con ingurgitación de los vasos esclerales a predominio superior (fig. 4).
En el examen externo presentaba edema y leve eritema bipalpebral con apertura ocular espontánea (fig. 5).

Figura 4. BMC OD: ingurgitación moderada de vasos esclerales.

Figura 5. Edema bipalpebral blando derecho.
El fondo de ojos de ambos ojos se encontraba dentro de parámetros normales para la edad.
La TAC de órbita con cortes coronal y axial mostraba una masa a nivel del recto superior y oblicuo mayor derechos intraconal (figs. 6 y 7).

Figura 6. TC de órbita, corte coronal: engrosamiento de los músculos recto superior y oblicuo mayor derechos.

Figura 7. TC de órbita, corte axial: engrosamiento de los músculos recto superior y oblicuo mayor derechos.
La RMN de órbita y encéfalo con y sin contraste destacaba edema bipalpebral con marcado incremento del volumen del recto externo, recto superior y oblicuo mayor derechos, con compromiso de la periórbita. Además, la presencia de imágenes ganglionares cervicales de ecoestructura alterada, con engrosamientos corticales e hilios excéntricos; como así también adenopatías axilares, abdominales y pélvicas. Se evidenció también por este estudio lesión nodular irregular de 14 mm x 16 mm en mama derecha coincidente con enfermedad de base de cáncer de mama de estirpe linfoproliferativa de reciente diagnóstico.
Discusión
El 50% de los casos de metástasis orbitarias acude al oftalmólogo sin conocer todavía la existencia de un tumor primario y pone énfasis en el papel de este especialista en el diagnóstico de esta patología. En la serie presentada el cáncer de mama resultó ser el único tumor primario ya diagnosticado antes de la consulta oftalmológica, mientras que los otros dos pacientes desconocían su enfermedad de base, cuyo diagnóstico se logró a partir de la revisión ocular en interacción con otras especialidades. Por eso, unos de los aspectos que se ponen de manifiesto con estos casos es que el oftalmólogo puede jugar un papel relevante en el diagnóstico del cáncer metastásico cuando existe afectación del ojo y/o de la órbita. Es indispensable la cooperación entre el patólogo, el oncólogo y los otros especialistas involucrados, como el ginecólogo, el urólogo o el neumonólogo, por ejemplo; de ahí la importancia de un abordaje multidisciplinario.
El tratamiento por parte del oftalmólogo debe de ir enfocado al intentar la preservación de la visión y promover el alivio del dolor ya que, incluso en pacientes con una supervivencia limitada, la preservación de estos aspectos tiene un impacto importante en la calidad de vida del paciente8. Actualmente, incluso con una tecnología sofisticada, se pueden encontrar dificultades diagnósticas. En caso de sospecha de metástasis, además del estudio oftalmológico y de imágenes, debe realizarse un examen de mama en la mujer, próstata y testículos en el hombre y broncopulmonar en ambos8.
Una revisión indica que el cáncer de mama resulta ser el tumor primario en un 48% de los casos, seguida por la afectación de próstata y el melanoma con un 12%, luego el pulmón con un 8% y finalmente el riñón con un 7%1. Pero en realidad, es posible que la frecuencia de la metástasis orbitaria de mama sea mucho mayor de lo que muestran los estudios publicados, ya que cuando se realiza un estudio anatomopatológico en pacientes con carcinoma de mama, de un 10% a un 37% de ellos presentan metástasis oculares u orbitarias que no se habían detectado clínicamente9-11. Asimismo, en un estudio se ha señalado que en un centro en el que se trataron al año aproximadamente 300 pacientes con carcinoma de mama con metástasis, en 5 años solo se diagnosticaron dos casos con metástasis orbitarias. Esto hace suponer que muchas de las metástasis orbitarias de carcinoma de mama permanecen en estado subclínico y nunca son diagnosticadas7.
En relación con la presentación clínica, en este estudio los 3 casos se presentaron mediante una masa palpable con proptosis (característico de las lesiones orbitarias medias y anteriores) y con moderado componente inflamatorio (tumefacción palpebral y dolor a la palpación), siendo éstos los síntomas de presentación más frecuentes5,8. En nuestros casos, la localización más frecuente fue la parte superomedial, que ocurrió en los casos de metástasis de mama y de pulmón. En la metástasis de origen testicular el tumor ocupaba prácticamente toda la órbita6. En ocasiones la afectación trigeminal puede cursar con hipoestesia o parestesias y algunas series indican que este síntoma aparece aproximadamente en un 20% de casos4-5. En esta serie el dolor fue un síntoma relevante en los 3 pacientes y sólo el paciente con seminoma tuvo hipoestesia como parte del cuadro clínico en etapas avanzadas. El tiempo de evolución de los síntomas hasta el momento de la consulta oftalmológica fue de aproximadamente 1 mes en el caso del cáncer testicular y de pulmón, y 4 meses en el caso de la paciente con cáncer de mama; coincidente con la bibliografía donde el 90% de los casos se presentaron antes del año1. La visión se vio comprometida en los 3 pacientes pero quien padecía de cáncer de testículo llegó a la amaurosis.
Para su diagnóstico, tanto la TAC como la RMN son fundamentales y más útiles que los ultrasonidos para evaluar órbitas con sospecha de lesiones metastásicas3. La TAC es el estudio de elección puesto que permite detectar afectaciones óseas mejor que la RMN2. La forma de aparición de las metástasis orbitarias en las imágenes de TAC y RMN es variada. En la TAC, la forma más común de presentación es de una masa (58%) seguida de alteración ósea (25%), muscular (9%) y alteración difusa (8%)2. En general, la aparición de una masa con afectación muscular o grasa sugiere una metástasis de carcinoma de mama; la afectación ósea, un carcinoma de próstata; y la afectación predominante de músculo indica un melanoma2.
Los ultrasonidos son más útiles para las lesiones localizadas en la parte anterior que para las ubicadas en la parte posterior del cono orbitario, estando particularmente indicados en las lesiones quísticas. Combinados con el Doppler pueden dar información sobre la vascularización de tumor2. La TAC toraco-abdominal detecta un origen pulmonar, mamario y testicular. El carcinoma testicular y de mama generalmente tienen un comportamiento agresivo y se metastatizan pronto en comparación con las metástasis de carcinoma pulmonar6,8. La biopsia por punción y aspiración con aguja fina (PAAF) es una excelente opción en el caso de sospecha de metástasis que, si tiene éxito, permitirá obtener el diagnóstico anatomopatológico de forma rápida, orientará en la localización del tumor primario y evitará al paciente un gran número de exploraciones. Con esta técnica se suele obtener material en los tumores con mucha celularidad, mientras que es de escasa efectividad en tumores fibrosos12. Nosotros siempre realizamos el PAAF con un estudio de imagen previo. Los resultados obtenidos con esta técnica se han calificado de excelentes por algunos autores con experiencia3 y varias series publicadas indican que tienen desde un 80% a casi un 97% de coincidencia con el diagnóstico anatomopatológico posterior4,13. Una preocupación que surge con el uso del PAAF es la posibilidad de diseminación de las células tumorales; sin embargo, los estudios realizados en un gran número de casos en los que se realizó un PAAF en una gran variedad de tumores y localizaciones indican que en este aspecto la técnica es segura3. Los datos complementarios de laboratorio raramente ayudan al diagnóstico de una metástasis, excepto si el tumor primario tiene marcadores específicos. El antígeno carcinoembriogénico elevado en plasma es indicativo de la existencia de metástasis, aunque un resultado negativo no indica su ausencia14.
Claramente, la determinación de la existencia de un tumor primario va más allá de la labor del oftalmólogo y es aconsejable remitir al paciente a un servicio de oncología para su diagnóstico y tratamiento15. En general los pacientes con metástasis orbitarias no son candidatos a la cirugía de órbita para la extirpación de la masa tumoral, puesto que esto no conlleva la curación de la enfermedad2,15. En relación con la sobrevida, de un total de 245 casos de metástasis orbitarias evaluados, la supervivencia media desde que se encontró la metástasis orbitaria fue de 9,3 meses3. En un estudio de 30 casos la distribución de la supervivencia tuvo una mediana de 1,3 años y el 27% los casos sobrevivieron 2 años4. En este mismo estudio no se encontró relación entre la supervivencia y el hecho de que se conociese o no la existencia de un tumor primario en el momento de encontrar la metástasis en la órbita; tampoco la relación entre el aspecto que la metástasis tenía en la TAC y la RMN y el pronóstico4. En nuestra serie dos de los pacientes han fallecido por el proceso que originó la metástasis orbitaria. Los más agresivos resultaron ser los casos de metástasis testicular y de mama, en el que los pacientes fallecieron uno y dos meses respectivamente después de que acudiesen al oftalmólogo.
Las metástasis orbitarias, aunque pueden ser infrecuentes, corresponden a la enfermedad tumoral más común de la órbita15, y como hemos encontrado en nuestro estudio, es posible que las manifestaciones oculares sean el primer hallazgo clínico. Es importante destacar que a pesar de su poca frecuencia (0,6% en dos meses en nuestro estudio) estamos ante casos de gran relevancia clínica, no sólo a nivel oftalmológico, ya que su desenlace puede ser el óbito del paciente. Su diseminación es principalmente hematógena. Implican un estado avanzado de la enfermedad y se trata de una patología de mal pronóstico, con un promedio de supervivencia de seis meses a un año15. Como la mayoría de los pacientes no son candidatos a cirugía, por eso el tratamiento médico oftalmológico busca preservar la visión y la calidad de vida de los pacientes más que impactar en su supervivencia. Por eso, la posibilidad de una metástasis orbitaria debe de tenerse en cuenta en cualquier proceso orbitario. No es infrecuente que el oftalmólogo sea el primer médico que consulte un paciente con un cuadro orbitario causado por una metástasis15. El diagnóstico diferencial se plantea con los casos en los que aparece un cuadro orbitario con componente inflamatorio predominante que puede simular una celulitis, fístula arteriovenosa, miositis, endoftalmitis, orbitopatía tiroidea o pseudotumor inflamatorio15. Hay que tener presente que en algunos pacientes una órbita inflamada puede ser el primer signo de un tumor localizado en otro lugar15, como se ha visto en estos casos.
Conclusión
En este estudio hemos encontrado que en dos meses el 0,6% (3 pacientes) de los casos atendidos en nuestro servicio presentaron metástasis orbitarias de tumores primarios, originarios de mama, pulmón y testículo. Las manifestaciones orbitarias precedieron a la detección del tumor primario en dos casos (66%), expresándose por dolor, exoftalmos, ptosis, diplopía, pérdida de visión, edema periorbitario, masa palpable y oftalmoplejía (en orden de frecuencia). La TC o la RMN de la órbita fueron relevantes para sospechar el diagnóstico al observarse una masa orbitaria con compromiso de partes blandas, que en uno de los casos (seminoma) afectó el hueso adyacente.
Por último, es importante destacar que el oftalmólogo juega un rol fundamental en el diagnóstico debido a que muchos de los hallazgos oculares representan las primeras manifestaciones de una neoplasia y del tratamiento de esta patología, debiéndose interactuar con diferentes especialidades.
Referencias
1. Shields JA, Shields CL, Scartozzi R. Survey of 1264 patients with orbital tumors and simulating lesions: the 2002 Montgomery Lecture, part 1. Ophthalmology 2004; 111: 997-1008.
2. Rootman J. Diseases of the orbit. 2nd ed. Baltimore: Lippincot Williams & Wilkins; 2003, p. 330-343.
3. Char DH, American Cancer Society. Tumors of the eye and ocular adnexa. Hamilton, Canada: B. C. Decker, 2001, p. 413-420.
4. Char DH, Miller T, Kroll S. Orbital metastases: diagnosis and course. Br J Ophthalmol 1997; 81: 386-390.
5. Goldberg RA, Rootman J, Cline RA. Tumors metastatic to the orbit: a changing picture. Surv Ophthalmol 1990; 35: 1-24.
6. Font RL, Ferry AP. Carcinoma metastatic to the eye and orbit III: a clinicopathologic study of 28 cases metastatic to the orbit. Cancer 1976; 38: 1326-1335.
7. Dieing A, Schulz CO, Schmid P et al. Orbital metastases in breast cancer: report of two cases and review of the literature. J Cancer Res Clin Oncol 2004; 130: 745-748.
8. Shields JA, Shields CL, Brotman HK et al. Cancer metastatic to the orbit: the 2000 Robert M. Curtis Lecture. Ophthalmic Plast Reconstr Surg 2001; 17: 346-354.
9. Albert DM, Rubenstein RA, Scheie HG. Tumor metastasis to the eye. I. Incidence in 213 adult patients with generalized malignancy. Am J Ophthalmol 1967; 63: 723-726.
10. Ferry AP, Font RL. Carcinoma metastatic to the eye and orbit. I. A clinicopathologic study of 227 cases. Arch Ophthalmol 1974; 92: 276-286.
11. Merrill CF, Kaufman DI, Dimitrov NV. Breast cancer metastatic to the eye is a common entity. Cancer 1991; 68: 623-627.
12. Kennerdell JS, Slamovits TL, Dekker A, Johnson BL. Orbital fine-needle aspiration biopsy. Am J Ophthalmol 1985; 99: 547-551.
13. Zeppa P, Tranfa F, Errico ME et al. Fine-needle aspiration (FNA) biopsy of orbital masses: a critical review of 51 cases. Cytopathology 1997; 8: 366-372.
14. Bullock JD, Yanes B. Ophthalmic manifestations of metastatic breast cancer. Ophthalmology 1980; 87: 961-973.
15. Wladis EJ, Lee KW, Nazeer T. Metastases of systemic malignancies to the orbit: a major review. Orbit 2021; 40: 93-97.